Cấy ghép Implant không rạch lợi hiện nay không chỉ mang lại hiệu quả cao trong việc phục hồi chức năng ăn, nhai của răng…
Hiện nay, dán sứ siêu mỏng không mài răng là giải pháp hiệu quả trong việc khắc phục các vấn đề về răng như xỉn…
Tẩy trắng răng là phương pháp nhằm cải thiện màu sắc của răng, giúp mang lại nụ cười tự tin và thu hút hơn. Để…
Phương pháp veneer sứ (dán sứ) là công nghệ nha khoa hiện đại thường áp dụng cho các tình trạng răng bị xỉn màu, ố…
Mòn cổ chân răng khiến răng bị mài mòn và dẫn đến nhiều bệnh lý về răng miệng, gây ảnh hưởng thẩm mỹ cũng như…
Răng khôn là một phần trong bộ răng của chúng ta, tuy nhiên vì nhiều lý do răng khôn không phát triển như bình thường.…
Răng sứ được chế tạo từ các vật liệu sứ cao cấp, có khả năng tái tạo hình dáng và chức năng của răng thật.…
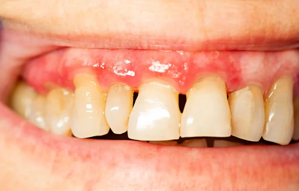
Viêm nha chu là tình trạng nướu bị nhiễm trùng nghiêm trọng, làm cho các mô xung quanh răng bị tổn thương do thói quen…




