Bọc răng sứ là phương pháp phục hình thẩm mỹ phổ biến hiện nay, không chỉ giúp cải thiện vẻ ngoài nụ cười mà còn nâng cao chức năng ăn nhai. Tuy nhiên, có không ít trường hợp sau khi bọc sứ, người dùng gặp tình trạng chảy máu chân răng, gây khó chịu và ảnh hưởng đến sinh hoạt thường ngày. Bài viết dưới đây sẽ giúp bạn hiểu rõ nguyên nhân vì sao bọc răng sứ bị chảy máu, các dấu hiệu nhận biết, cũng như cách khắc phục hiệu quả, đi kèm địa chỉ bọc răng sứ uy tín tại TP.HCM.

Bọc Răng Sứ Là Gì?
Bọc răng sứ là kỹ thuật phục hình răng bằng cách mài nhỏ phần thân răng thật, sau đó chụp một mão răng sứ (có hình dáng và màu sắc tương tự răng thật) lên trên. Mục đích của bọc sứ là tái tạo lại tính thẩm mỹ và cải thiện khả năng nhai nuốt, đồng thời bảo vệ răng thật khỏi những tác động bên ngoài.
Hiện nay, có hai dòng răng sứ phổ biến:
- Răng sứ kim loại: Bao gồm lớp sườn bằng kim loại bên trong và phủ một lớp sứ trắng bên ngoài. Loại này có giá thành thấp, tuy nhiên dễ gây đen viền nướu sau thời gian dài sử dụng.
- Răng toàn sứ: Được chế tác hoàn toàn bằng sứ nguyên khối, có độ tương thích sinh học cao, không gây kích ứng nướu và có tính thẩm mỹ gần như tuyệt đối.
Việc lựa chọn loại răng sứ phù hợp cần dựa vào tình trạng răng miệng, khả năng tài chính và lời khuyên từ bác sĩ chuyên khoa.
Khi Nào Nên Bọc Răng Sứ?
Không phải ai cũng cần thực hiện bọc răng sứ. Phương pháp này thường được chỉ định trong các trường hợp sau:
- Răng xỉn màu nặng, không thể tẩy trắng: Với những người có men răng yếu, nhiễm màu tetracycline bẩm sinh hoặc tẩy trắng nhiều lần không hiệu quả, bọc sứ là lựa chọn lý tưởng để sở hữu hàm răng trắng sáng tự nhiên.
- Răng sứt, mẻ, mòn men hoặc mòn mặt nhai do nghiến răng: Những tổn thương trên thân răng khiến răng trở nên yếu, nhạy cảm, thậm chí gây mất thẩm mỹ. Bọc răng sứ giúp bảo vệ răng khỏi nguy cơ gãy vỡ thêm và cải thiện chức năng ăn nhai.
- Răng thưa, răng mọc lệch nhẹ, không muốn niềng: Bọc sứ có thể tái tạo hình dáng răng bằng mão sứ được thiết kế riêng, giúp lấp khoảng trống giữa các răng hoặc điều chỉnh vị trí nhẹ nhàng mà không mất nhiều thời gian như niềng răng.
- Răng đã điều trị tủy: Răng sau khi chữa tủy thường yếu và dễ vỡ. Bọc sứ giúp củng cố cấu trúc và kéo dài tuổi thọ của răng.
- Muốn cải thiện nụ cười toàn diện: Bọc sứ theo dáng răng cá nhân hóa (Hollywood Smile hoặc Smile Design) là lựa chọn phổ biến trong nha khoa thẩm mỹ cao cấp.
Lưu ý: Quyết định bọc răng sứ cần có sự thăm khám và đánh giá tổng quát từ bác sĩ nha khoa để tránh những rủi ro không đáng có.
Các Triệu Chứng Thường Xảy Ra Khi Bọc Răng Sứ
Sau khi hoàn tất quy trình bọc răng sứ, người dùng có thể gặp một số triệu chứng phổ biến, bao gồm:
- Cảm giác ê buốt: Xuất hiện trong vài ngày đầu, do răng mới được mài hoặc do mão sứ chưa thích nghi hoàn toàn với răng thật.
- Đau nhức vùng nướu hoặc chân răng: Có thể do mão sứ đặt sai vị trí, kích ứng mô mềm, hoặc viêm nhẹ vùng quanh răng.
- Khó khăn khi ăn nhai: Nếu mão răng chưa được điều chỉnh đúng khớp cắn, người bệnh có thể cảm thấy cấn, kênh, khó nhai hoặc đau hàm.
- Hơi thở có mùi hôi: Nếu cổ răng bị hở, mão sứ lắp không khít hoặc thức ăn mắc vào kẽ răng sẽ tạo điều kiện cho vi khuẩn phát triển.
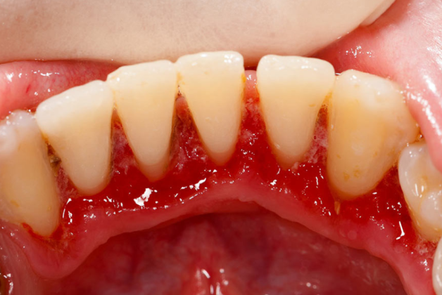
- Chảy máu nướu: Đây là dấu hiệu đáng quan tâm nhất. Nếu xảy ra liên tục hoặc kéo dài hơn 3 ngày, rất có thể bạn đang gặp biến chứng cần được kiểm tra kỹ lưỡng.

Việc lắng nghe cơ thể và kiểm tra thường xuyên sẽ giúp bạn phát hiện sớm các vấn đề bất thường sau khi bọc sứ.
Vì Sao Bọc Răng Sứ Bị Chảy Máu?
Tình trạng chảy máu sau khi bọc răng sứ có thể đến từ nhiều yếu tố khác nhau. Dưới đây là những nguyên nhân phổ biến:
1. Thiếu vệ sinh răng miệng sau khi làm răng
Sau khi bọc sứ, vùng nướu trở nên nhạy cảm hơn, dễ bị viêm nếu không vệ sinh kỹ. Mảng bám thức ăn và vi khuẩn tích tụ sẽ gây viêm lợi, khiến nướu sưng tấy và chảy máu khi đánh răng.
2. Mão sứ lắp sai kỹ thuật hoặc thiết kế không chuẩn
Nếu mão sứ có đường viền ôm nướu quá sâu hoặc bị hở cổ răng, sẽ gây tổn thương mô mềm, tạo điều kiện cho vi khuẩn phát triển dưới nướu, dẫn đến chảy máu, viêm nha chu, thậm chí tiêu xương ổ răng.

3. Mài răng quá mức hoặc gây tổn thương đến nướu
Một số nha sĩ thiếu kinh nghiệm có thể mài răng không đúng kỹ thuật, xâm phạm đến mô mềm xung quanh hoặc sát với tủy răng, dẫn đến đau, sưng và chảy máu vùng nướu.
4. Dị ứng với chất liệu răng sứ kim loại
Một số người có cơ địa nhạy cảm, dễ bị dị ứng với kim loại như niken, crom trong răng sứ kim loại. Phản ứng dị ứng có thể biểu hiện bằng viêm đỏ, chảy máu hoặc thậm chí rút nướu, lộ chân răng thật.
5. Tác động vật lý hoặc thói quen xấu sau khi bọc sứ
Thói quen ăn nhai bên phía răng mới bọc, dùng tăm cứng xỉa răng, nghiến răng khi ngủ,… đều có thể gây chấn thương vùng nướu dẫn đến rách mô mềm và chảy máu.
Cách Khắc Phục Tình Trạng Bọc Răng Sứ Bị Chảy Máu
Nếu bạn đang gặp tình trạng chảy máu nướu sau bọc răng sứ, đừng vội lo lắng. Dưới đây là các giải pháp xử lý hiệu quả:

1. Tăng cường vệ sinh răng miệng đúng cách
- Sử dụng bàn chải lông mềm, chải răng nhẹ nhàng theo chiều dọc.
- Dùng chỉ nha khoa để làm sạch kẽ răng, tránh dùng tăm tre.
- Súc miệng bằng nước muối sinh lý hoặc dung dịch sát khuẩn theo chỉ định.
2. Súc miệng nước muối ấm mỗi ngày
Nước muối giúp kháng khuẩn, giảm viêm và thúc đẩy quá trình hồi phục vết thương ở mô nướu. Mỗi ngày nên súc miệng 2 – 3 lần, mỗi lần từ 30 – 60 giây.
3. Tránh ăn đồ cứng, nóng hoặc cay
Thực phẩm quá nóng hoặc quá lạnh có thể khiến răng sứ co giãn nhanh, ảnh hưởng đến khớp nối với răng thật. Ngoài ra, đồ cay dễ kích thích vùng nướu bị viêm.
4. Đi tái khám sớm tại nha khoa
Nếu tình trạng chảy máu kéo dài hơn 3 – 5 ngày, bạn cần quay lại phòng khám để bác sĩ kiểm tra khớp cắn, tình trạng viêm, hoặc điều chỉnh mão sứ nếu cần thiết.
5. Sử dụng thuốc theo đơn của bác sĩ
Có thể dùng gel bôi nướu, kháng sinh hoặc thuốc kháng viêm trong trường hợp có nhiễm khuẩn nhẹ. Tuyệt đối không tự ý mua thuốc nếu chưa được bác sĩ chỉ định.
Địa Điểm Bọc Răng Sứ Uy Tín Tại TP.HCM: Lựa Chọn Đúng, Không Lo Biến Chứng
Để tránh tình trạng chảy máu sau khi bọc răng sứ, yếu tố quan trọng nhất là lựa chọn nha khoa uy tín. Một nha khoa chất lượng sẽ đảm bảo:
- Bác sĩ được đào tạo chuyên sâu về phục hình sứ.
- Thiết bị hiện đại: Máy scan 3D, CAD/CAM, máy chụp CT Cone Beam…
- Chất liệu sứ cao cấp, có chứng nhận rõ ràng, bảo hành chính hãng.
- Phòng vô trùng tiêu chuẩn, đảm bảo an toàn tối đa khi điều trị.
- Chính sách hậu mãi, bảo hành răng sứ rõ ràng từ 5 – 15 năm.
Nha khoa Dr.SmileCare: Răng sứ chất lượng chính hãng, bền đẹp trọn đời.
Tại Dr.SmileCare, chúng tôi cam kết mang đến giải pháp phục hình răng sứ an toàn và thẩm mỹ với tiêu chuẩn quốc tế. Toàn bộ vật liệu răng sứ đều là sản phẩm chính hãng, có nguồn gốc rõ ràng từ các thương hiệu uy tín như Đức, Nhật, Mỹ… đảm bảo độ bền, độ tương thích sinh học và tính thẩm mỹ tối ưu.
Thẩm mỹ cá nhân hóa – Thiết kế dáng răng theo tỷ lệ gương mặt và nụ cười riêng biệt. Đội ngũ bác sĩ chuyên sâu – Giàu kinh nghiệm, tay nghề cao, quy trình thực hiện chuẩn y khoa.
Hãy đến với Dr.SmileCare để trải nghiệm ngay hôm nay theo thông tin bên dưới.
Nha khoa Dr.SmileCare
▪ Địa chỉ: 1049 Phan Văn Trị, P. 10, Gò Vấp, TP. HCM
▪ Hotline: 0932774018
▪ Website: https://nhakhoadrsmilecare.com/


