Quá trình chế tác răng sứ cần nhiều thời gian và công đoạn nhằm tạo ra sản phẩm phù hợp với từng người. Chính vì thế, giá thành của răng sứ chắc chắn không thể rẻ. Trên thị trường hiện nay, rất nhiều nha khoa quảng cáo làm sứ giá rẻ. Hậu quả khi làm răng sứ giá rẻ là gì, cùng tìm hiểu qua bài viết dưới đây.
Trong những năm gần đây, nhu cầu làm răng sứ tại Việt Nam không ngừng gia tăng. Sở hữu một hàm răng đều, trắng sáng và tự nhiên không chỉ cải thiện chức năng ăn nhai mà còn mang lại sự tự tin lớn trong giao tiếp và ngoại hình. Đặc biệt, với sự phát triển của công nghệ hiện đại như CAD/CAM, việc phục hình răng sứ trở nên chính xác, an toàn và thẩm mỹ hơn bao giờ hết.
Tuy nhiên, song hành với sự bùng nổ đó là sự xuất hiện ồ ạt của các dịch vụ làm răng sứ giá rẻ – nơi chi phí thấp được đưa lên hàng đầu, còn yếu tố chuyên môn và chất lượng lại bị bỏ quên. Rất nhiều người vì ham rẻ mà phải chịu hậu quả nặng nề không chỉ về thẩm mỹ mà còn cả sức khỏe răng miệng về lâu dài.
5 Hậu Quả Nghiêm Trọng Khi Làm Răng Sứ Giá Rẻ
1. Chất Lượng Kém
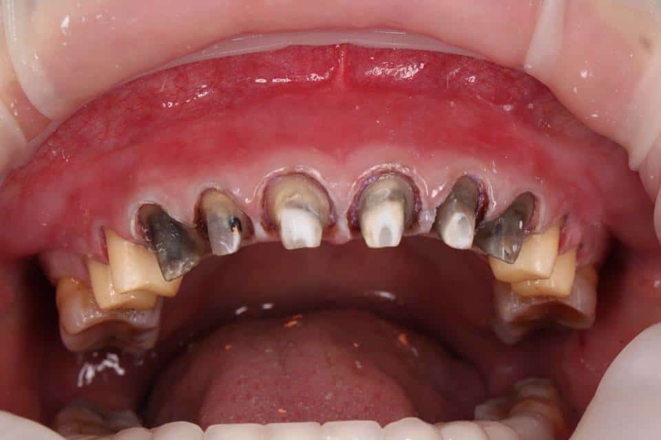
Một trong những rủi ro lớn nhất của việc làm răng sứ giá rẻ chính là vật liệu kém chất lượng. Nhiều cơ sở quảng cáo “răng sứ cao cấp” nhưng thực chất sử dụng hàng không rõ xuất xứ, không có chứng nhận y khoa, thậm chí là hàng pha tạp không đạt chuẩn.
- Về độ bền: Những loại răng sứ này thường chỉ giữ được form dáng trong vài tháng đầu, sau đó dễ bị nứt gãy, bong tróc, đặc biệt khi ăn đồ cứng hoặc nóng lạnh thất thường.
- Về khả năng chịu lực: Kỹ thuật chế tác không chính xác, không đồng bộ khiến răng không ôm khít cùi răng thật, dẫn đến răng yếu, dễ lung lay.
- Về thẩm mỹ: Màu sứ trắng bệt, đục, thiếu độ trong và độ bóng như răng thật. Hình dáng không hài hòa, thậm chí có thể gây lệch khớp cắn do thiết kế sai tỉ lệ.

2. Tác động tiêu cực đến sức khỏe răng miệng
Không như các dịch vụ làm đẹp khác, phục hình răng sứ can thiệp trực tiếp vào răng thật và mô mềm trong khoang miệng. Nếu sai kỹ thuật hoặc dùng vật liệu không đạt chuẩn, hậu quả là vô cùng nghiêm trọng:
- Viêm lợi và viêm nướu: Răng sứ giá rẻ thường không ôm khít với chân răng, tạo ra các khe hở cho vi khuẩn trú ngụ, dẫn đến viêm nướu, sưng đỏ, chảy máu.
- Tụt lợi và lộ chân răng: Do phản ứng viêm kéo dài hoặc phục hình sai kỹ thuật, nướu rút lên làm lộ phần cổ răng hoặc sứ, gây mất thẩm mỹ và ê buốt.
- Viêm tủy, chết tủy: Việc mài răng quá mức hoặc không kiểm soát sẽ làm tổn thương đến phần tủy bên trong, gây đau nhức, nhiễm trùng, thậm chí mất răng vĩnh viễn.
- Hơi thở có mùi: Mảng bám và vi khuẩn tích tụ giữa khe răng sứ – răng thật gây hôi miệng kéo dài, ảnh hưởng lớn đến giao tiếp.

3. Chi Phí Sửa Chữa Và Thay Thế Cao
Chi phí ban đầu có thể rẻ, nhưng hậu quả về lâu dài lại cực kỳ tốn kém. Những tình huống bạn sẽ phải đối mặt bao gồm:
- Răng sứ bị bung ra khi ăn uống – phải làm lại ngay lập tức nếu không muốn gây viêm nhiễm.
- Răng sứ gãy, nứt – mất thẩm mỹ và đau nhức nếu chạm vào răng thật bên dưới.
- Viêm nhiễm, tụt nướu – phải điều trị chuyên sâu, mất thời gian và đau đớn.
- Phải tháo toàn bộ hàm răng sứ để làm lại – không chỉ tốn tiền gấp đôi, mà còn ảnh hưởng lớn đến công việc và sinh hoạt.
Vì vậy, bạn không những không tiết kiệm được chi phí, mà còn phải chịu thiệt hại lớn hơn nhiều so với lựa chọn nha khoa uy tín ngay từ đầu.
4. Mất Thẩm Mỹ – Nụ Cười Thiếu Tự Nhiên
Mục tiêu của hầu hết khách hàng khi làm răng sứ là cải thiện nụ cười. Nhưng với dịch vụ giá rẻ, bạn có thể gặp hàng loạt lỗi thẩm mỹ như:
- Răng trắng bệch, thiếu độ trong suốt – khiến hàm răng trông giả, không thật, đặc biệt khi chụp ảnh hoặc dưới ánh sáng đèn.
- Hình dáng không đồng bộ – có thể bị to thô, cộm, cong vênh, không phù hợp với khung hàm và gương mặt.
- Viền sứ đen xỉn, lộ kim loại – đặc biệt là với dòng sứ kim loại rẻ tiền, gây mất thẩm mỹ nghiêm trọng.
- Răng nhanh chóng xuống cấp – ố vàng, xỉn màu chỉ sau vài tháng nếu không được bảo vệ bởi lớp sứ cao cấp.

5. Khó Khăn Trong Bảo Trì Và Vệ Sinh
Khác với răng thật, răng sứ yêu cầu quy trình vệ sinh kỹ lưỡng và bảo trì định kỳ. Nhưng răng sứ giá rẻ thường:
- Dễ bám màu thực phẩm như cà phê, trà, nước ngọt, làm răng ố màu nhanh chóng.
- Khó vệ sinh khe răng do thiết kế không khít sát, tạo điều kiện cho vi khuẩn phát triển.
- Không được tư vấn cách chăm sóc đúng từ bác sĩ – vì quy trình không bài bản, không theo dõi lâu dài.
- Không có chính sách bảo hành – nếu hỏng hoặc bong răng, bạn phải tự chi trả toàn bộ chi phí sửa chữa.
Về lâu dài, bạn sẽ thấy sự bất tiện và khó chịu trong quá trình ăn uống, vệ sinh, và chăm sóc – khiến trải nghiệm răng sứ trở nên phiền toái thay vì tiện lợi như mong muốn ban đầu.
Lời Khuyên Khi Chọn Làm Răng Sứ
Để sở hữu một hàm răng sứ đẹp, bền lâu và an toàn, hãy lưu ý:
- Ưu tiên nha khoa uy tín, bác sĩ có chuyên môn
Làm răng sứ đòi hỏi kỹ thuật cao và sự hiểu biết sâu về cấu trúc răng. Do đó, bạn nên chọn nha khoa có đội ngũ bác sĩ chuyên về phục hình răng sứ, giàu kinh nghiệm, tay nghề chuẩn xác và được đào tạo bài bản. Điều này giúp đảm bảo an toàn, không xâm lấn răng thật và mang lại kết quả tự nhiên, lâu bền.
- Kiểm tra nguồn gốc răng sứ và chính sách bảo hành
Răng sứ chính hãng thường có mã số tra cứu, giấy tờ xuất xứ rõ ràng và bảo hành minh bạch từ 5 – 10 năm hoặc trọn đời. Hãy nói “không” với các loại răng không rõ nguồn gốc vì dễ gây viêm nhiễm, hỏng hóc nhanh và không được hỗ trợ sửa chữa khi gặp sự cố.
- Chọn loại răng sứ phù hợp với nhu cầu
Mỗi người sẽ có cấu trúc răng, nhu cầu và mức ngân sách khác nhau. Hãy để bác sĩ tư vấn loại răng sứ phù hợp: từ sứ kim loại đến toàn sứ cao cấp như E.max, Zirconia… Ưu tiên những dòng sứ có độ bền cao, màu sắc tự nhiên và tương thích sinh học tốt.
Nha khoa Dr.SmileCare: Răng sứ chất lượng chính hãng, bền đẹp trọn đời.
Tại Dr.SmileCare, chúng tôi cam kết mang đến giải pháp phục hình răng sứ an toàn và thẩm mỹ với tiêu chuẩn quốc tế. Toàn bộ vật liệu răng sứ đều là sản phẩm chính hãng, có nguồn gốc rõ ràng từ các thương hiệu uy tín như Đức, Nhật, Mỹ… đảm bảo độ bền, độ tương thích sinh học và tính thẩm mỹ tối ưu.
Thẩm mỹ cá nhân hóa – Thiết kế dáng răng theo tỷ lệ gương mặt và nụ cười riêng biệt. Đội ngũ bác sĩ chuyên sâu – Giàu kinh nghiệm, tay nghề cao, quy trình thực hiện chuẩn y khoa.
Hãy đến với Dr.SmileCare để trải nghiệm ngay hôm nay theo thông tin bên dưới.
Nha khoa Dr.SmileCare
▪ Địa chỉ: 1049 Phan Văn Trị, P. 10, Gò Vấp, TP. HCM
▪ Hotline: 0932774018
▪ Website: https://nhakhoadrsmilecare.com/


